案例分享『困難植牙』
案例分享『困難植牙』
沈宛玲醫師
成功且「好用」的植牙,有幾大要素:植牙周圍有足夠厚度及高度的骨質(就像房子的地基)、穩定的牙齦(角化牙齦可保護植牙的骨質)、美觀及功能(前牙有粉紅牙齦尖端美學,及避免植牙後牙牙縫容易卡食物)。
在困難植牙的案例中,為了堅持品質,醫師需要挑戰更高難度的手術方式,也需要更多的時間。也感謝患者的信賴和全心全力的配合!
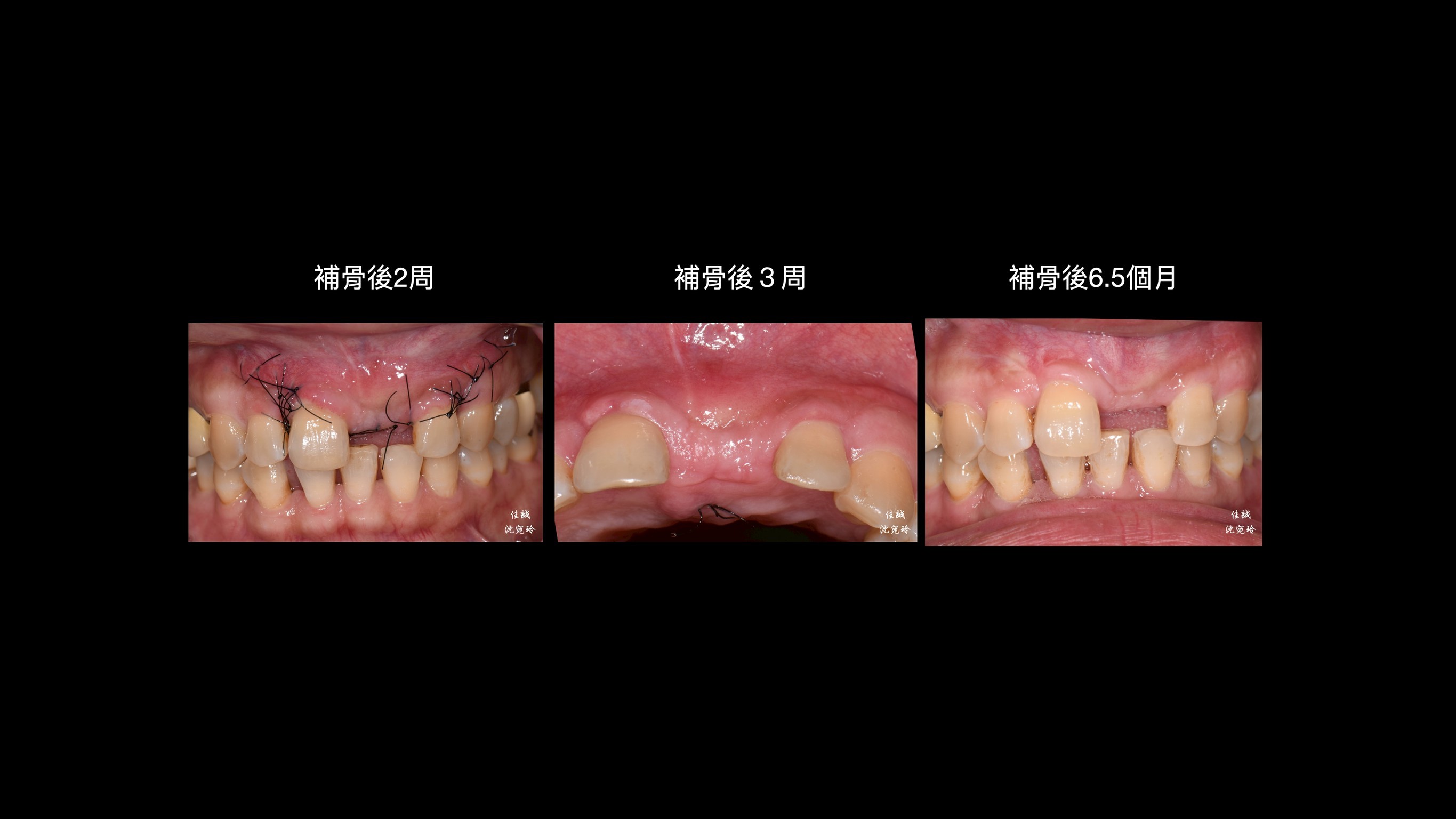
C小姐經其他醫師轉診,因上顎門牙牙根斷裂,感染而造成膿腫,在頰側、顎側、垂直高度皆有嚴重骨缺損。因此在補骨手術中,醫師選擇使用高難度的鈦網合併適度皮瓣減張,可以有效率的達到接近理想的成果。
其中,不論從診斷、補骨手術前及植牙的手術導板規劃階段,我們都會先把植體和其假牙相對位置找出來,來制定接下來的治療計劃。






