案例分享『矯正前之困難補骨』
案例分享『矯正前之困難補骨案例分享』
沈宛玲醫師
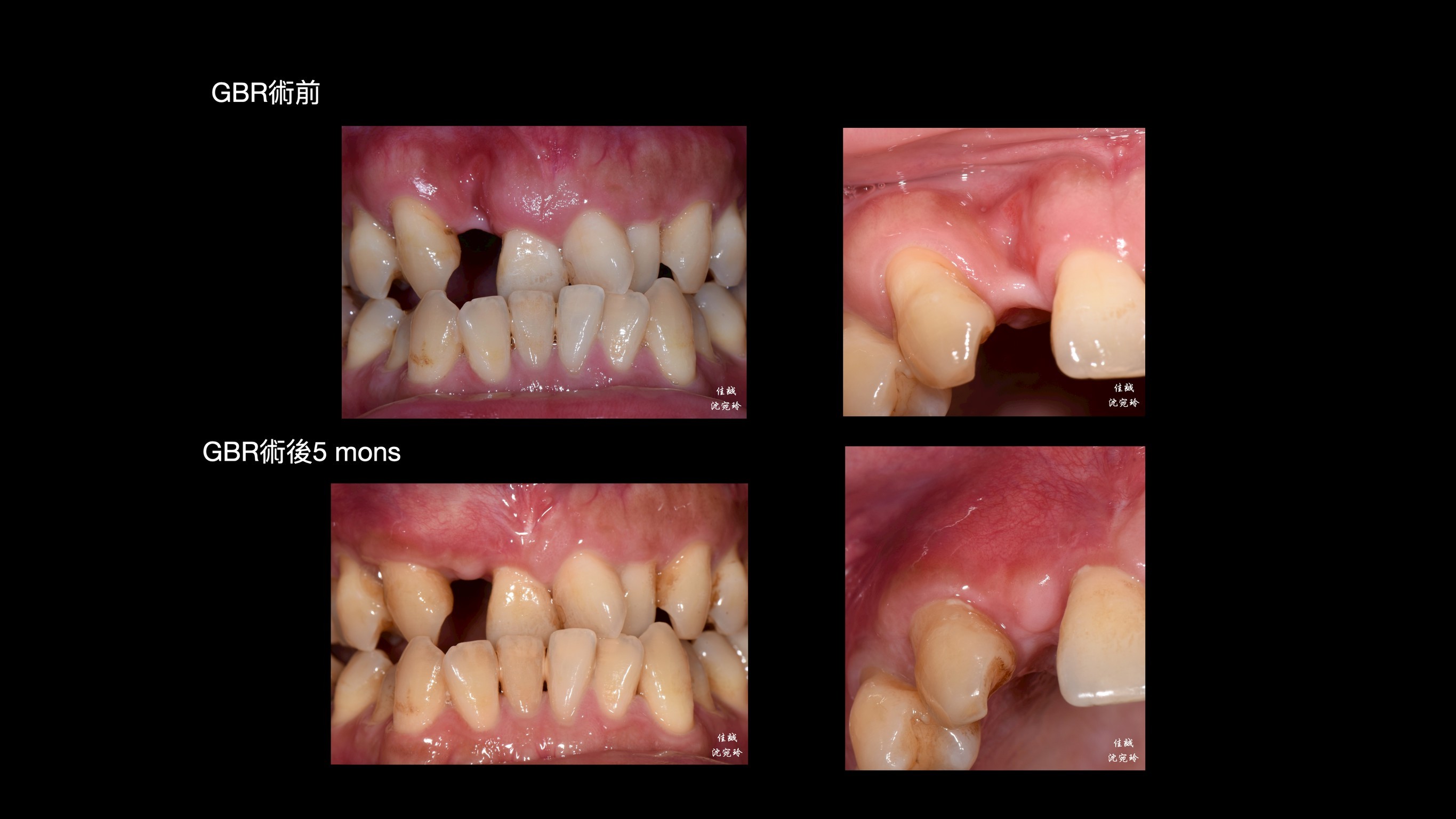
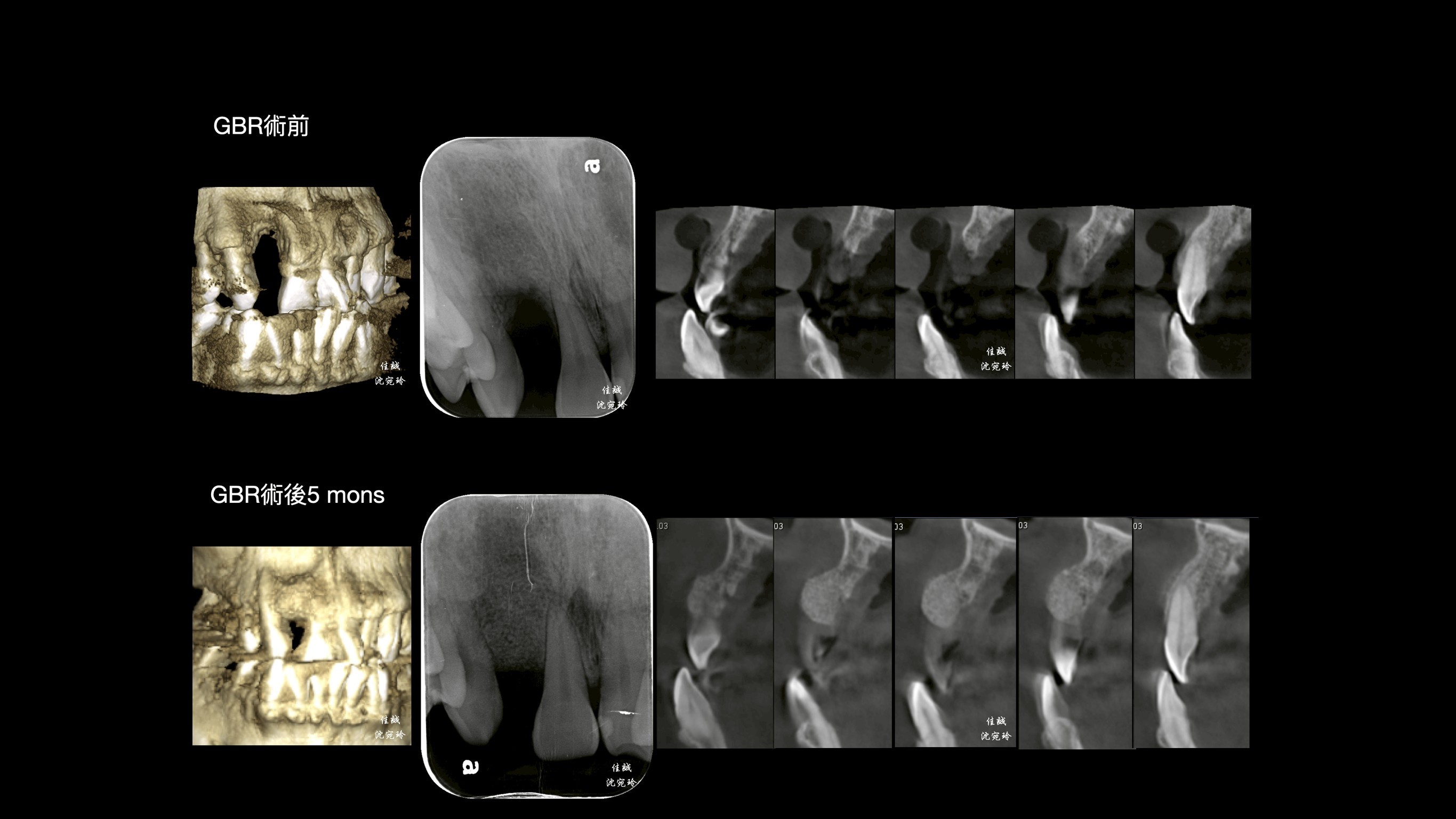
感謝醫師轉診,C先生自述右上側門牙因牙周病太搖而自行掉落,上前來「評估缺牙區可否植牙或是假牙?」
由於骨缺損程度大,此區若直接做假牙除了會塞食物,也不美觀。另外,做牙橋會犧牲太多齒質,需要根管治療;而馬里蘭牙橋做在平行度不佳的前後牙齒上面,也需要修磨較多,使用年限也不高;加上咬合排列不正,建議先做補骨手術,再接著做矯正治療,等矯正完成後,才做植牙或假牙的選擇。
「我們還是先補骨吧,矯正或植牙或牙橋都需要骨頭的⋯⋯」
手術挑戰是術區牙齦皮薄、骨缺損大,加上病患希望矯正前只開一次手術,對於方便矯正的接續進行,這次只補FDBA和 OSSIX plus。因為預期將來會吸收一些,我盡量補oversize,最後選在牙齒掉落後的三個月進場,增加贏面。
小插曲: 傷口術後1週回診追蹤,在嫩嫩的薄皮旁帶著明顯的瘀血腫脹,第2週回診看起來像第1週的癒合狀態,詢問之下才知道,患者術後2-3天開始做規律重訓,不過還好傷口沒打開,最後我們延後一週拆線,傷口也癒合良好。以往術後須知,我們只說「不做劇烈運動」,現在要多加個「不做重訓」了唷。
幾個月後,也仰賴病患體氣血循好,成果還不錯唷。





