案例分享『全口重建』
您有多久沒有哈哈大笑了呢?您吃東西需要挑軟的吃嗎?您的牙齒健康嗎?
沈宛玲醫師
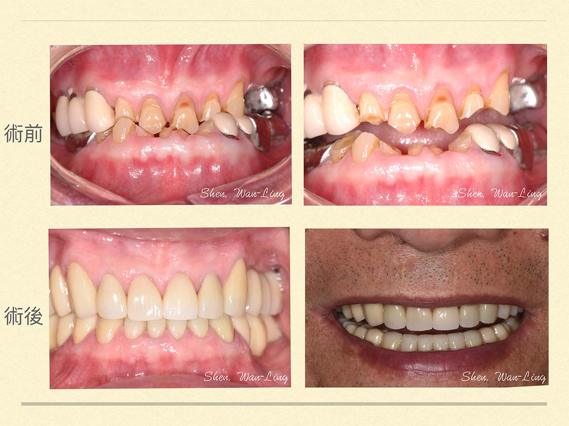
C大哥初來診所求診,呈現前牙嚴重磨耗損壞,咬合平面高低不平,後牙多顆缺牙及牙齒搖動,舊的假牙下方有蛀牙,以及根管鈣化等難症根管問題。同時有長年半夜嚴重磨牙習慣。
我們大約花了兩年的時間,進行全口重建,將咬合高度稍稍提升下,建立新的咬合關係。將咬合平面重整拉平以外,自然牙以顯微根管治療(by Dr. 錢正原),及鑄造型金屬牙釘和全鋯冠假牙重建; 右上及左上方後牙以植牙重建。
在配戴提高高度的臨時假牙數個月後,經過適應期,確定植牙座落位置,才進行植牙手術合併鼻竇增高術及水平骨引導增生手術,術後半年進行根向皮瓣置放合併轉瓣之植牙第二階段手術,以增加角質化牙齦及減少植牙間的牙縫。後再製作植牙臨時假牙,藉由咬合的變化和調整讓植體接受漸進式受力,以增加植體周圍之骨質穩定度,同時將牙肉做模擬自然牙外型的塑型,以提升牙齦尖端美學和減少植牙間牙縫,使食物好清潔不易塞牙縫。
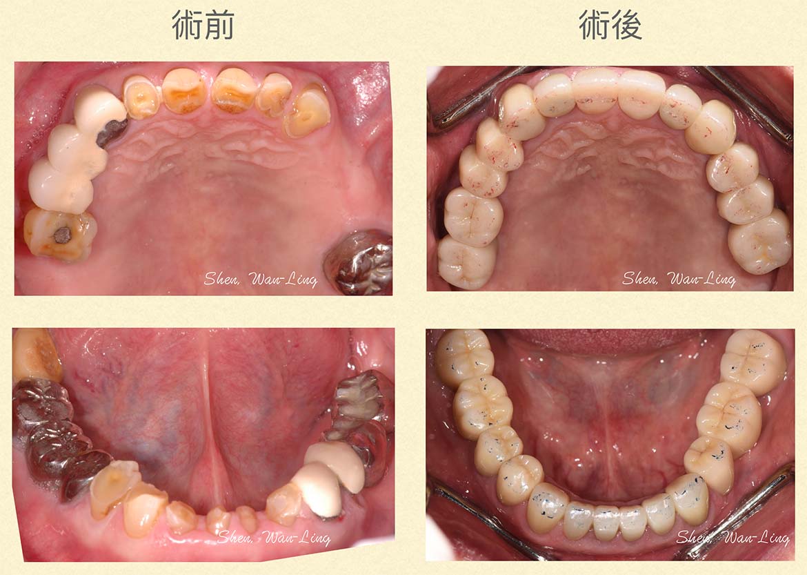
接著我們製作諾保科原廠(Pocera)的客製化支台齒,精準複製植牙臨時假牙模擬自然牙根在牙肉內的樣子(當然植牙不同於自然牙,還需再做些調整曲線變化),以及確切置放植牙支台齒的假牙黏著邊緣位置(因為一顆植牙周邊的牙肉高低不同有落差,客製化的好處及是將假牙邊緣設置在牙齦下方不超過1 mm,且隨著假牙的外型,其接牙根處有不同的位置,而有不同的外展支台角度需求)。
我們在乎角質化上皮,並控制黏膠層溢出的位置,同時我們重視植牙假牙的恆定使用品質,所以我們做原廠的客製化支台齒,以及都選用兼顧美觀和生物相容性高及耐用的全鋯冠作為植牙的後牙假牙。
另外,針對半夜磨牙的策略,我們做上CAD-CAM的咬合板,以防止夜間磨牙時植牙受損,以達到咬合長期穩定為目標。







