顳顎關節的咬合板治療
淺談『顳顎關節障礙』的咬合板治療
沈宛玲醫師




顳顎關節障礙的治療方法:
『顳顎關節障礙會根治嗎?』
如果以地震做為比喻:一旦地震發生了,震波的力量會往四周傳撥出去,然後慢慢消耗殆盡;但力量的消耗會帶來破壞,必定有些結構會因此毀損。換句話說,當顏面肌肉過度咬緊施力時,若不採取適當的措施,肌肉所產生的力量也會傳導至附近的組織,必然會使關節、或是牙齒造成傷害。而過度咬合的力量何時產生?何時停止?每個人都不一樣,我們也無法阻止過度力量的生成;所以醫師能做的是有效的引導力量,避免已受傷的組織,繼續承受破壞性的壓力。
淺談「咬合板治療」
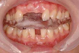
咬合板治療是現今公認有效的輔助性治療!咬合板的材質是透明壓克力樹脂,質地比牙齒外層的珐瑯質還要軟;因而配戴後,當咬合板與牙齒對磨時,咬合板會先被磨耗,如此可避免對咬牙之珐瑯質的磨耗。換句話說,由咬合板來代替對咬的珐瑯質被磨耗。
咬合板的臨床製作,首先是依據每位病患的病況,提供不同厚度的咬合板,做出不同程度的咬合高度提高,白天牙關緊咬的患者可先做抬舌運動來幫忙抵制緊咬的狀況,而針對白天緊咬或半夜磨牙患者,咬合版厚度可給予較少量的提高以給予磨耗;而關節盤紊亂嚴重患者須提高達7mm,來增加關節舒適度和復原空間。咬合板在兩側後牙區為均勻接觸,並且看起來是平的檯面,不會看起來像有牙齒高低起伏的樣子,前牙區為咬合輕接觸,並可提供犬齒導引及前方導引。另外它可以選擇做在上顎或下顎配戴,通常下顎牙弓較上顎的小,因此若口內環境許可,常常以做下顎的咬合板較為舒適。
戴上咬合板不會阻止磨牙產生,但可把力量傳過來的破壞傳給咬合板,進而保護牙齒和關節。由於磨耗的咬合板本身會有牙齒走過的凹痕,大腦會因凹痕產生而引發更喜歡磨牙,因此每三到六個月要回診將破壞過的地方做拋光的動作。咬合板可以說是一種消耗品,而配戴咬合板需維持一段時間,比方說每天晚上睡覺時配戴,然後連續這樣子維持數個月到數年,等到有一天病患不再發生緊咬或是夜間磨牙,那麼回首這段時間,可以見到因為配戴咬合板,而得以保存齒質最大程度的完整和顳顎關節軟骨的健康。
顳顎關節的喀喀聲,是否能夠改善?
『咬合板治療後,關節喀喀聲會消失嗎?』正常來說咬合板治療不會使關節喀喀聲消失。關節喀喀聲是關節盤紊亂初期(關節盤不平整)的一種表徵,聽到聲音表示關節的破壞已產生,並且若不善加保護可能越來越嚴重。進行咬合板治療能夠有效率的阻止破壞進行,但關節的異音依然會繼續存在,並不能預期聲音會消失。
用咬合板輔助治療就夠?還是需要其他贋復修復?或是其他外科治療?
如上提到,『咬合板治療是現今公認有效的輔助性治療!』當肌肉過度用力帶來的破壞,包含牙齒不可逆的損耗、牙崩牙裂、關節軟骨的破壞變形破損、進而疼痛影響生活作息,這些常需搭配其他治療。若是整排牙齒崩壞,常需做假牙贋復修復,才能讓牙齒恢復健康與功能。若是關節盤紊亂,則看破壞程度,必要時合併外科治療。
因為每個人的症狀和情況不同,因此還需經過臨床的詳細評估檢查,才能給予適當的治療。