致力於提供,專業儀療品質、合理價格!

根管治療中,斷針了怎麼辦?

佳誠美學牙醫副院長 牙髓病專科醫師 錢正原醫師

牙醫界有一句名言: "醫師如果你沒有斷針過,代表你做的根管治療不夠多",其實包括錢醫師本人,偶爾也會發生斷針的情形喔!根據統計,斷針發生的機率大約為3%。看似不高,但譬如: 一個牙髓病專科醫師可能一個月內就會治療到20多顆牙齒,依照機率大約1~2個月就會發生一次! 不算是罕見了~~ 因此,國內外的牙醫界都把斷針定位為一種[醫療的不幸事件]而非是[疏失],因為它有一定的機率會發生,是治療中"必須承擔的風險",也像是所有治療、手術都有一定的成功率(失敗率)一樣,醫師也不是神呀......

斷針為何會發生呢? 做個比喻,根管治療放大後,其實很像是"拿著不鏽鋼的奶瓶刷,清理彎曲的水管"; 所以可以想像,當水管越細或越彎的時候,刷子越容易斷開、卡住一節在裡面,畢竟器械都有承受力的極限所在。所以實際上,"斷針" (broken)這個詞在國外已經被"分離器械"(separate)所取代,也就是: 器械分離一部分,卡在根管裡了。

如果很不幸的,您已經發生斷針(分離器械)的情形,那該怎麼處理呢? 首先請您放心,那段卡住的器械並不會進入你的身體和血管裡、造成全身其他的疾病; 它的問題只是: 堵住根管,讓某一段根管無法清理下去。斷針(分離器械)發生後,一般的處理方式如下:

  1. 評估斷針(分離器械)的時機和卡住的位置: 譬如,如果是在"根管治療快要完成時"才發生,那麼根管內已經差不多清理完了,此時卡住根管也不太影響治療結果了~~
  2. 繞過(bypass)分離器械
  3. 拿出分離器械 (建議需在顯微鏡下、使用特殊器械)
  4. 進行根尖手術: 如果很不幸的,實在無法用上述的兩種方式排除堵塞、而無法清創的部分又剛好有較嚴重的感染,此時還能夠用手術的方式- 從根管的尖端打一個小洞、從根管的末端"逆向"通根管,清創那段感染的根管空間。

結論: 斷針(分離器械)是屬於根管治療的一個部分,它可能發生; 而有賴於近期科技的進步,相較於5-6年前,我們已經有越來越多的方式可以解決這個以往常常無法處理的難題。讓我們一起為保留牙齒而努力!!!

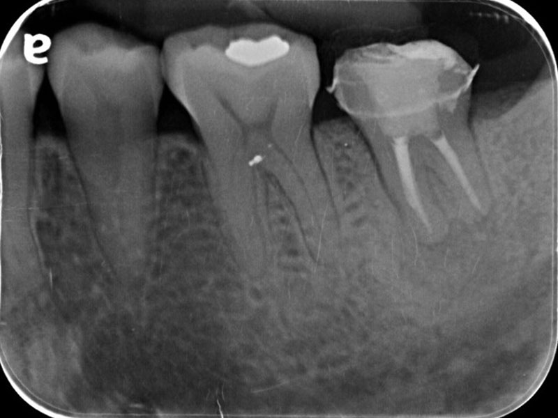
圖例為案例分享:
 

分離器械移除A-1

分離器械移除A-2

分離器械移除B-1

分離器械移除B-2