致力於提供,專業儀療品質、合理價格!
根管治療能不能「清一半就好」? 談「活性牙髓治療」- 錢正原醫師

根管治療是移除「牙髓內因為細菌感染、發炎壞死的組織」。那麼我們能不能只移除壞掉的那部分,留下健康的牙髓組織呢? 

健康活性的牙髓有以下的功能:能預警過冷過熱、蛀牙毒素等等的刺激。另外根據過往的研究,做過根管治療的牙齒,對於咬東西的感覺只有正常牙齒的一半,意思是:咬到過硬的東西會不知道要放開。因此有醫師認為,這也是做完根管治療的牙齒容易牙裂的原因之一。「牙髓(神經),當然是活的好」!

因此,當代的醫師們開始研究,能不能達成俗稱「根管做一半,另一半神經保持活性」的目標。在10多年前這個做法並不可行,原因是剩下的活性牙髓,會因為填補材料的毒性、和細菌的滲透慢慢壞死。至今日因為材料的進步,此類的術式已經漸漸可行,統稱為「活性牙髓治療」(vital pulp therapy)。

活性牙髓治療,成功要素為:

  1. 充分移除已經壞死感染的牙髓組織 
  2. 使用生物相容性良好(對牙髓組織無毒性、無人體排斥)、封閉性良好(細菌無法滲漏穿過)的材料,直接填補在牙髓上,隔開牙髓和口腔內的細菌。

依照移除牙髓組織的數量與深度,「活性牙髓治療」由淺而深可分為:

  • 直接附髓法 (direct pulp capping): 只移除一點點牙髓組織
  • 部份冠髓切除術 (partial pulpotomy):移除牙冠部分的牙髓腔內,部分的牙髓
  • 冠髓切除術 (pulpotomy) :完整移除牙髓腔內的牙髓組織
  • 部份牙髓摘除術 (pulpectomy, partial):除了移除牙髓腔內的牙髓外,再更深入移除根管內的部分牙髓

然而,畢竟細菌是肉眼看不到的!要如何知道治療到多深才是足夠的呢?移除表面一點還是得移除一半呢?移除不夠多是否會治療失敗呢?

以上的問題,其實很主觀,需要依靠「醫師的經驗和智慧」。可以經由:病患術前的臨床症狀、使用顯微鏡放大觀察牙髓組織的發炎程度, 後續假牙贋復的治療計畫等等,決定要「移除多少牙髓」。此外,嚴謹的感染控制(全程使用橡皮障、大量沖洗殺菌藥劑)、完全的移除蛀牙、高品質的後續填補,也是治療成功的必須要件。

若能堅持高品質的治療過程,根據近期的研究,活性牙髓治療的成功率可達到90%以上。但另一方面,也有接近30%的案例術後有「根管鈣化」(根管變狹窄)的情形,若之後因為二度蛀牙、要再進行完整的根管治療時,則會因為根管鈣化而增加治療的困難度。因此若病人選擇「活性牙髓治療」,之後定期的追蹤檢查是必要的!

總而言之,活性牙髓治療有高的成功率,在經由醫師的專業判斷、嚴謹的掌握治療細節,與病人充分討論之後,是可行的治療選擇之一!

若您有相關疑問需要,歡迎預約評估諮詢!

註:活性牙髓治療中,另一個更保守的方式為:間接覆髓法 (indirect pulp capping):在修磨不暴露牙髓的前提下、特意遺留部分的深層蛀牙,直接補牙復型。殘留的蛀牙會刺激牙髓的鈣化退縮,過3-6個月之後再二次修磨進入、移除遺留的蛀牙;此時牙髓已不會因為移除蛀牙而暴露。但這個術式更倚重醫師的主觀判斷,遺留的蛀牙太多會使牙髓壞死,二次填補也易耗損更多的齒質。因為此術式並無直接移除牙髓組織,本文未提及之。
 
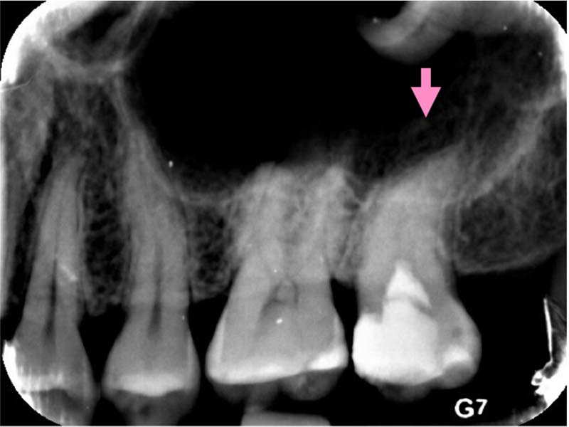
圖例為案例分享:
 

深度填補過後,持續冷熱敏感

依照症狀及顯微鏡下觀察,移除部分牙隨組織

術後三年追蹤檢查,狀況良好