談『全口重建』
沈宛玲 醫師
您有多久沒有開懷大笑了呢?在乎前牙的美觀呢?還是在意咀嚼功能呢?對於牙醫師來說,最困難的,也是最有成就感的,莫過於『全口重建』了!
全口重建意味著治療涉及每一顆牙齒,甚至需要改變上下顎間的垂直關係,假牙空間不足的要設法提高上下顎間高度,但以能提高的最小量為佳,畢竟提高高度會帶來肌肉咬合力量增加。 成就達成包括:牙科美學、微笑曲線、咬合平面、咬合模式、假牙贋復空間、牙釘及假牙材質的選擇,這些都還建立在確切的根管治療和牙周治療的基石上,有些治療還需要加入牙冠增長術或矯正治療才可完成。缺牙區植牙重建也是很重要的課題,從骨頭到牙肉,植牙的角度、尺寸大小、骨頭的量和等待骨整合的時間、角質化上皮的量,每個步驟都影響治療的成功與否。
以下全口重建案例分享:
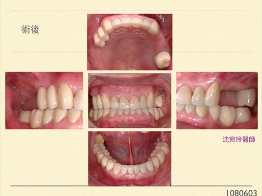
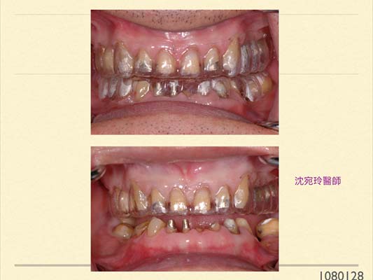
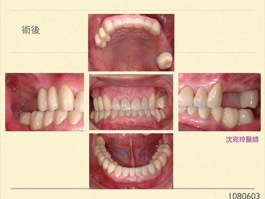
由於術前前牙美觀不佳及後牙咬合平面不平整,需要假牙重建,但由於下排門牙牙齒磨耗過短無法以現狀包覆假牙,牙根長度亦不長,因此以提高咬合高度達到贋復空間需求,並同時將雙側咬合平面做拉平的動作。將咬合平面拉平可以減少咬合干擾及牙周韌帶受傷,對牙周健康以及顳顎關節長期的維護有幫助。而前牙美觀則依著微笑曲線、鼻梁中線、瞳孔連線來依序達成。
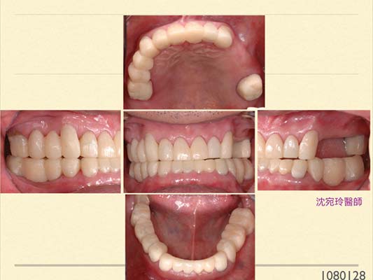
附上術前及術後的比較,過程中,在臨床上提高適當的咬合高度後,在咬合器上做診斷性蠟型,並翻製成臨時假牙讓病患配戴使用。另外,齒質缺損多的,根管治療後的牙齒必須做上鑄造型的金屬牙釘,而最後全口做上美觀及功能兼具的全鋯全瓷牙冠及牙橋。而上顎後牙缺牙區則正在進行植牙手術重建。
 
  
  
  
  
  
  
  
  
  
  
  
  
  
 