淺談「牙周的手術治療」
淺談「牙周的手術治療」
李晉成醫師
誠如上文「什麼是牙周病治療」,接下來我們來談什麼是「牙周病手術治療」。
牙周再生手術治療案例1
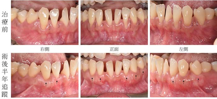
牙周再生手術治療案例2
Q: 其他牙周相關治療
牙周病其實是牙周組織疾病的統稱,以上為牙周炎的介紹(江湖上所謂的牙周病)。其他包括牙齦萎縮、牙齦增生、缺少角化牙齦、前庭過淺、不當的繫帶附著等皆可經由門診小手術治療。另外也有與贗復、牙髓、矯正等科別合作之協同治療,例如為了保留牙齒或美觀需求之牙冠增長手術,合併牙周再生與牙髓治療之手術,以及加速矯正進度或幫忙拉出阻生齒之牙周手術。
Q: 什麼是牙齦萎縮
臨床上,牙齦邊緣位置略高於牙骨質牙釉質連接處(cemento-enamel junction, CEJ)。當牙齦邊緣往根尖方向移動,露出牙根表面,即是牙齦萎縮。牙齦萎縮會影響美觀,使清潔不易,牙根暴露也容易對冷熱敏感,若牙齦太薄更容易進一步繼續萎縮。造成牙齦萎縮的原因很多,包括使用牙刷牙線方式錯誤、不良的假牙設計、牙齒位置外突、牙齦太薄、牙周病等。首先要先有正確的診斷,才會有良好的療效。
牙齦萎縮治療案例1 – 牙根覆蓋手術
先以牙根覆蓋手術治療,增加牙齦厚度後,後續再進行矯正治療。
牙齦萎縮治療案例2 – 牙根覆蓋手術
Q: 缺一顆牙沒補起來有沒有關係
當一顆牙齒喪失,除了可能造成咀嚼、清潔不便,影響美觀及發音外,更重大的影響其實是缺牙空間將導致鄰牙傾倒,對咬牙增長,可能進一步造成咬合垂直高度喪失及前牙暴出,後續贗復也將會是一大工程,可能要配合矯正治療或修磨鄰牙、對咬牙甚至根管治療。
所以當一顆牙齒喪失,最省錢、省時間的處理方式,絕對是盡速以適合的形式將假牙做起來,並學會正確保養牙齒及假牙的方法,避免治療永遠追不上牙齒生病的速度。
目前缺牙後的修補方式,分做:活動假牙、固定假牙(牙橋)、以及人工植牙。

