嚴重根管感染引起鼻竇炎,怎麼辦?
嚴重根管感染引起鼻竇炎,怎麼辦?-錢正原醫師
當牙髓(俗稱的神經)壞死之後,細菌在根管中大量孳生。此時於上顎的後牙區域,若是牙根的尖端緊貼、或是深入鼻竇時,細菌便會進入鼻竇內,感染引起鼻竇炎喔!
在醫學上有一個特殊的名詞: 牙髓病源性的上顎鼻竇炎Maxillary sinusitis of endodontic origin (MSEO)定義這種感染。與一般牙痛不同,病患常常覺得疼痛主要來自於中顏面深處,反而常見的牙痛症狀:牙齒「咬痛」、「敲痛」有時不太明顯。隨著疾病的進程,會從局部的鼻竇黏膜感染發炎(mucositis)、嚴重時感染擴散至大部分鼻竇-引起鼻竇阻塞(sinus obstrution),此時會有鼻塞、流鼻水、嚴重頭痛的情形。
在診斷疾病時,有時傳統的x光影像並不能明確的判斷出鼻竇發炎,因此「電腦斷層」是必須的工具。除了牙醫師需要藉此判斷發炎的齒位,耳鼻喉科醫師也需要知道鼻竇發炎的範圍,決定是否要進行鼻竇手術。另一方面,在開始治療之前,牙醫師需要診斷牙齒感染的「病因」-包括像是牙周病、牙齒斷裂等等也會引起感染,但此時進行根管治療是沒有效果的!
在治療上,相對棘手,原因是:
- 此時根管內的感染嚴重、細菌量高,需要「高品質的根管治療」、盡力清除所有可能的死角,治療才能成功。
- 被感染的鼻竇組織,治療困難。
牙髓病引起的細菌感染,通常有一個特性:根管內的細菌是「根」,向牙根外散布的細菌是「果」,只要能消滅根管內的細菌、斷了「根」,牙齒外面其他組織也會漸漸回復健康。但依照醫師的個人經驗,長期感染的鼻竇組織,有時會在細菌感染降低之後,卻繼續保持發炎狀態,因而繼續造成牙齒的疼痛,此時就需要耳鼻喉科醫師的偕同治療。
轉診至耳鼻喉科醫師後,一般會先給予長時間的抗生素治療;若有鼻竇阻塞狀況,可進行「功能性內視鏡鼻竇手術」,打通阻塞排膿。但對於局部發炎的鼻竇黏膜組織,目前並沒有其他明確的處理方式,因而需要長期(數個月或更長時間)的等待恢復期。整體而言,此類案例會有「感染疼痛持續較久」、「治療結果較難預期」的特性。
因此,以上問題的答案是:嚴重根管感染引起鼻竇發炎時,根管治療依舊是可行、能夠保留牙齒的治療方式,而「正確的診斷」、「高品質的根管治療」、「電腦斷層檢查輔助」、「必要時耳鼻喉科醫師偕同治療」是成功治療的不二法門!
圖例為案例分享:
粉:感染增生的鼻竇黏膜
綠:原本的鼻竇範圍
紫:牙齒跟監感染,進入鼻竇
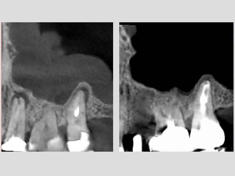
術前的電腦斷層

術後的電腦斷層,比竇黏膜已完全復原
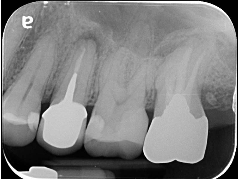
治療前X光:診斷左上顎最後三尺為均需要根管治療
左上顎第二小臼齒:顯微鏡下確診牙裂,建議拔除
左上顎第一大臼齒:為五根管的難症(罕見變異多根根管)
左上顎第二大臼齒:也是五根管的難症(罕見變異多根根管)
治療後X光
術前 / 術後